집안 청소나 빨래 등으로 손을 많이 사용하는 주부들은 손가락 마디 통증을 호소하는 경우가 많습니다.
작은 부상이나 무리한 힘을 지속적으로 가해서 통증이 찾아오기도 하고요. 손가락마디 통증, 작은 통증으로 시작되지만 방치하면 안 되겠죠. 이번에는 손가락 통증 관절염의 원인과 예방법에 대해 알려 드리도록 하겠습니다.

< 목차>
1. 손가락 마디 통증 관절염 원인
2. 손가락 통증 예방법
3. 손가락 마디 통증 치료법
1. 손가락 마디 통증 관절염 원인
1) 퇴행성 관절염
나이가 들어가면서 관절 연골이 닳아 발생하는 통증으로
손가락 마디 통증의 가장 흔한 원인 중 하나입니다.
손가락을 많이 사용하는 주부들에게 이런 손가락 통증이 많은 것 같습니다.
저 또한 손빨래를 자주 해서 그런지 가끔 손가락 마디가
찌릿찌릿하면서 신경 쓰일 때가 있더라고요.
퇴행성 관절염으로 인한 손가락 통증의 원인은
과도한 사용이 주요 원인이라고 할 수 있습니다.

2) 류머티즘 관절염
자가면역 질환으로, 관절염을 유발하며 손가락 마디 통증과 함께
손가락이 붓는 경우, 찌르는 듯한 통증이 나타나기도 합니다.
류머티즘 관절염은 정확한 원인이 없다는 것이 특징인데요.
10대에서도 발견될 정도로 여러 연령대에서 발생합니다.
그리고 평생관리한다는 개념으로 관리와 치료를 해나가야 한다고 합니다.

3) 손가락을 반복적으로 사용하거나 과도한 힘을 가할 때 생기는
염증, 통증, 붓기 움직임 제한 등의 증상으로 인한 경우
4) 골관절염
손가락 마디뼈의 연골이 닳아 발생하며
통증, 뻣뻣함, 움직임 제한 등의 증상이 나타납니다.
5) 외상
손가락 마디에 직접적인 충격이나 부상을
입으면 통증이 발생합니다.
6) 기타
당뇨병, 비만, 갑상선 기능 저하증 등의 질병도
손가락 마디 통증을 유발할 수 있습니다.
2. 손가락 마디 통증 예방하는 방법
1) 손가락 사용 줄이기
반복적인 손가락 사용은 통증을 악화시킬 수 있기 때문에
중간 중간 휴식을 취하거나 작업 방식을 바꾸는 것이 중요합니다.
2) 적절한 손가락 운동
손가락 근력 강화 운동은 통증 완화에 도움이 됩니다.
손목과 손가락 스트레칭을 해주거나 손가락을 쥐었다 폈다 하는 강화운동을 해줍니다.

3) 온찜질 및 냉찜질
붓기와 통증 완화에 도움이 됩니다.
4) 균형 잡힌 식단
칼슘, 비타민 D, 오메가 3 지방산 등 손가락 건강에 좋은
영양소를 섭취합니다.
특히 류마티스 관절염은 만성적인 질환으로 발전할 수 있기 때문에
위의 영양제 섭취와 생활습과 개선을 병행하는 것이 좋습니다.

5) 보조기 사용
손목 보조기나 스플린트를 사용하여 손가락 관절을 지지하고 통증을 완화하도록 합니다.
6) 약물치료
통증이 심한 경우는 진통제나 항염증제를 처방받을 수 있습니다.
※주의사항
증상이 심하거나 오래 지속되는 경우는
자가 치료만 하면 오히려 증상을 악화시킬 수 있기 때문에
전문의 치료를 권합니다.
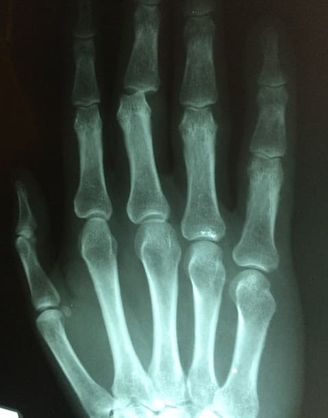
3. 손가락 마디 통증 치료법
퇴행성 관절염은 연골손상과 뼈의 변형이 주원인이기 때문에
상태를 확인하기 위해 X-ray검사를 하고
류머티즘 관절염 증상은 혈액검사를 해서 염증수치를 확인하게 됩니다.

또, 여러 검사와 임상증상을 통해 약물치료나 주사치료,
물리치료 등으로 추가적인 변형을 막고 염증을 완화하는 치료를 하게 됩니다.
류머티즘 관절염은 진행 정도에 따라
소염제나 항체 관련 약물을 복용하거나
스테로이드 주사 처방을 할 수도 있습니다.
손가락은 잠을 자는 시간빼고는 거의 사용을 하는 신체이다 보니
누구나 시큰거리거나 뻣뻣함, 심하면 통증을 느끼게 됩니다.
손가락 마디 통증이 있는 경우 치료시기를 놓치면
관절염으로 발전할 수 있다고 해요.
그러니 적극적으로 치료해야 할것 같습니다.
이상으로 손가락 마디 통증 원인과 증상 및
치료법과 예방법 함께 알아보았습니다.
감사합니다.
황창연 신부님 프로필과 강의 확인해 보세요.⬇️
황창연 신부님 프로필과 강의 명언
종교불문하고 대중들이 사랑하는 종교인으로 불교계에는 법륜스님이 계시다면 가톨릭계에는 황창연 신부님이 계시죠. 특히 황창연 신부님은 가톨릭에서 중장년을 포함, 노년에 이르기까지 아
gh-story.tistory.com
오십견 원인과 증상은?
오십견 증상이 빨리 사라지는 맨발걷기 어싱 효과
어느덧 입춘도 지나고 경칩이 낼모레로 다가오고 있네요. 겨울 동안 추위 때문에 하지 못했던 맨발 걷기를 할 수 있어 설레는 맘으로 봄을 기다리고 있습니다. 몇 년 전 제가 갑작스럽게 오십견
gh-story.tistory.com
면역력에 좋은 당근 사과 양배추 주스 효능/ 비율 알아보기
무첨가 cca주스 효능 효과 비율 까주스의 모든 것 정리
오랜만에 당근주스 만들어 먹으려고 검색하는 과정에서 조승우 한의사의 cca(까주스) 주스에 대해 알게 되어서 관심 있는 분들 참고하실 수 있도록 포스팅 하게 되었습니다. 개인적으로 가장 먼
gh-story.tistory.com
'몸건강 마음건강' 카테고리의 다른 글
| 생애주기별 생애전환기 건강검진 나이 확인 (2) | 2024.03.08 |
|---|---|
| 건강보험 임플란트 나이 가격 혜택 확인하기 (1) | 2024.03.07 |
| 임플란트 시술 과정 기간과 임플란트 수명 연장하는 법 (0) | 2024.03.02 |
| 결핵 증상 전염성 잠복기 및 예방법 검사비용 (2) | 2024.03.01 |
| 갱년기 증상 자가 진단과 갱년기 증상에 좋은 영양제 음식 (4) | 2024.02.29 |